
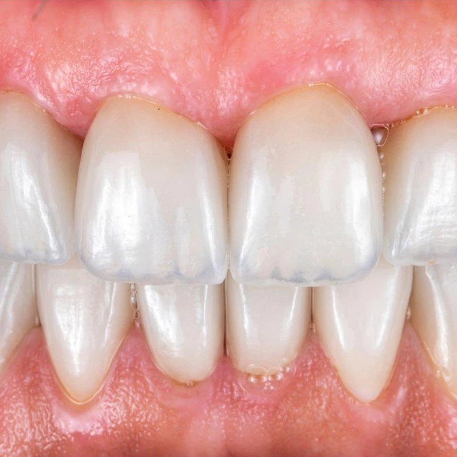
Discover the art of smile design at Chowdhury’s Premium Dental. Our experts blend aesthetics and dental expertise to create customized smiles that harmonize with your unique features. With meticulous planning and modern techniques, we craft radiant smiles that exude confidence, leaving a lasting impression.


